Sarcomatoid Mesothelioma Lawyers in Buffalo, Rochester, and Syracuse, NY

Sarcomatoid mesothelioma, which is sometimes called spindle cell mesothelioma, accounts for less than 20% of all mesothelioma cases.

Though also rarest, this is the most lethal form of mesothelioma as it spreads very quickly throughout the body. Sarcomatoid malignant mesothelioma has the worst outcomes after treatment and patients have median life expectancy rates of five to eight months after diagnosis.

This extremely brief time span makes it imperative for victims of this disease to contact the sarcomatoid mesothelioma lawyers at Lipsitz, Ponterio & Comerford who specialize in cases in Buffalo, Rochester, Syracuse, and across New York State.

What Is Sarcomatoid Mesothelioma?

Sarcomatoid mesothelioma is an extremely aggressive version of mesothelioma cancer that can spread itself quickly throughout the body. The cell shape sometimes mimics healthy cells, thus it is often difficult to diagnose.

While this type of tumor can develop on the lining of the lungs, abdomen, heart, or testes, it is most often found in lungs. Occasionally, sarcomatous cell types will develop simultaneously with other mesothelioma cell types.

It accounts for less than 15% of pleural mesothelioma cases, and more than 80% of sufferers have had direct exposure to asbestos.

Like any other type of mesothelioma, sarcomatoid mesothelioma may incubate for 20 years or more before showing symptoms.

Who Is at Risk for Sarcomatoid Mesothelioma?

All types of mesothelioma are known to be caused by exposure to asbestos. This is a natural mineral that has a fine fibrous texture that easily floats through the air.

Asbestos was a favored ingredient by manufacturers for decades because it was strong and heat resistant. It has been used in thousands of commercial and consumer products.

Sarcomatoid Mesothelioma Lawyers Lipsitz, Ponterio & Comerford, LLC - Asbestos Exposure Attorneys

The majority of people who were exposed worked in a trade industry building or repairing homes and businesses. The bulk of building materials throughout several decades contained asbestos, thus workers were continually exposed even after manufacturers knew of the associated health risks.

Some of the asbestos products people worked with each day included:

Most of these products are used by skilled and unskilled laborers. The asbestos risk was particularly high for anyone who worked in a Navy shipyard or aboard a Navy sailing vessel as well, because the government used asbestos products extensively.

An indirect result of exposure to military veterans and blue-collar workers was secondhand exposure for their loved ones. People who worked around these toxic materials often brought it home with them in the form of dust on their clothing and body.

Children hugged their fathers and spouses handled the clothing when washing it each week, thus exposing everyone in the home.

There are also established environmental exposure cases from people living too close to a manufacturing plant or mine. The Balmat mines in Jefferson County New York have caused one of the highest mesothelioma mortality rates in the entire country.

Lipsitz, Ponterio & Comerford specializes in getting sarcomatoid mesothelioma victims in Buffalo, Rochester, and Syracuse, NY, the compensation they deserve.

Symptoms of Sarcomatoid Mesothelioma

The signs and symptoms of sarcomatous mesothelioma cells often don’t begin appearing for 20, 30, or even 40 years. Because of the way they can mimic normal cell structure, they’re often misdiagnosed or missed completely.

Symptoms are also similar to other health problems, which can exacerbate delays in treatment.

Some symptoms that may occur include:

  • Difficulty breathing
  • Pain or tightness in the chest
  • Swelling of the abdomen
  • Extra fluid around the lungs
  • Loss of appetite
  • Weight loss
  • General fatigue
  • Vomiting or nausea

Pleural sarcomatoid mesothelioma may have treatment options if it is discovered quickly enough. Because this variety spreads so quickly, however, it is unlikely that doctors will be able to surgically remove the tumors.

How Is It Diagnosed?

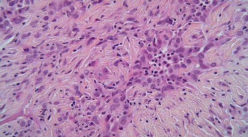
Since the sarcomatous cell disguises itself as a normal cell, it can be easily missed with standard testing. It’s also quite rare in comparison to other mesothelioma cell types, and the symptoms closely resemble other health problems.

Sarcomatoid Mesothelioma Lawyers Lipsitz, Ponterio & Comerford, LLC - Asbestos Exposure Attorneys - Mesothelioma Diagnosis

Patients who know they’ve been exposed to asbestos and suspect they have mesothelioma often seek out second and third opinions from medical specialists. It can even be beneficial to find a physician who specializes in diagnosing and treating mesothelioma because they have more experience recognizing the different cell types.

Most doctors will order chest or abdomen X-rays and CT scans. These tests might show if there are cancerous growths on the lining of the lungs or abdomen. They’ll also show whether there is excess fluid on either lining, which is often an indicator of cancer cells developing.

Certain blood tests may help, as well, but the only definitive way to diagnose sarcomatoid mesothelioma is to look at the cells themselves. Doctors may biopsy a piece of tissue and extract fluid from the affected area so that they can look at them under a microscope and run additional tests.

These tests will show when mesothelioma cancer cells are present, and they will identify the spiral-shaped sarcomatous cells as well.

How Is It Treated?

The median time a patient will live after being diagnosed with sarcomatoid mesothelioma is about six months.

Because of the aggressive nature of this specific cell type, sarcomatoid mesothelioma is rarely treatable. There are four stages to the disease, and if a diagnosis is made by Stage 1 or 2, doctors may be able to help extend the patient’s life.

In Stage 1, sarcomatoid mesothelioma is located in a small section of the lung or another organ’s lining. This might be treated with surgery.

In Stage 2 of this disease, the sarcomatoid cell has expanded beyond the initial area of the lining. Treatment might involve the use of chemotherapy drugs if the doctor feels they may help.

In Stage 3, the sarcomatoid pleural mesothelioma has spread to the other side of the lung lining and there is not much that can be done. Doctors may elect to try radiation therapy, but since this disease progresses so quickly, it may not help.

In Stage 4 of sarcomatoid mesothelioma, the cancer cells have spread liberally throughout the body. Treatment at this stage is simply a matter of keeping the patient comfortable and as pain-free as possible.

How Can Lipsitz, Ponterio & Comerford Help?

If you have been diagnosed with sarcomatoid mesothelioma, you may have a solid case against the employer or manufacturer who exposed you to asbestos. With an extremely short survival time frame, however, retribution steps may need to be finished by the family of the person afflicted.

In the state of New York, a victim or the victim’s family has just three years to file a workers’ compensation or wrongful death lawsuit for sarcomatoid mesothelioma cancer.

Workers’ compensation is insurance afforded to all employees in the state of New York who have been injured or made ill because of their job.

People who get cancer because they handled asbestos products at work have been injured. The benefits from this program will pay related medical bills and expenses. It may also pay for funeral costs or provide a weekly income to the victim or their surviving family.

When a person dies as a result of sarcomatoid mesothelioma, their family may have a valid claim against the company who manufactured the asbestos products. While some companies have since gone bankrupt due to their outrageous conduct against employees, there may still be options for a victim’s family.

Other companies are still in business and still producing toxic products that people use in the workforce or at home every day. Some of the ways you might still be exposed today include:

  • Baby powder
  • Cosmetic face powder
  • Cosmetic blush
  • Spray paint
  • Wood putty
  • Non-stick agents in cookware
  • Automotive plastics
  • Tableware

The experienced sarcomatoid mesothelioma lawyers at Lipsitz, Ponterio & Comerford, LLC, have helped to bring closure to many families who have suffered at the hands of companies making products with asbestos.

We even have a dedicated workers’ compensation attorney to help you file your claim and collect the benefits you’re entitled to.

We have spent decades focusing solely on mesothelioma cases, so you don’t have to face this struggle alone. Our specialty is helping clients in Buffalo, Syracuse, Rochester, and across New York to collect the compensation that is rightfully theirs, while also striving to change the laws and regulations against this toxic material.

We have a personal interest in making these changes, too. We have dedicated our practice to this because our families have been directly affected by exposure to toxic materials. Combined, we have secured over a billion dollars in verdicts, settlements, and compensation for mesothelioma victims, and we’d like to help you as well.

If you or a loved one has been diagnosed with malignant sarcomatoid mesothelioma, please contact us for a free and confidential evaluation.

Recent Review

If you want attorneys who really care about you and your family, look no further. Everyone at that firm really goes out of their way to give you the best outcome possible. – Michelle A.